Zahnbehandlungsangst – eine natürliche Erscheinung, die viele Menschen betrifft
Es gibt kaum einen anderen medizinischen Bereich, vor dem sich Menschen so sehr fürchten.
Warum zu uns?
Teil unseres Qualitätskonzepts ist eine ausgeprägte Patientenorientierung. Die Trennung von Beratung und Behandlung soll Ihnen helfen, die Angst zu überwinden und wieder Vertrauen zu einem Zahnarzt aufbauen zu können. Dies ist die Grundlage zu einem neuen, unbeschwerten und strahlenden Lächeln.

Gutes Gefühl
Die Angst vor dem Zahnarzt ist leider noch immer weit verbreitet. Bei einigen Menschen ist sie sogar so stark, dass Zahnarztbesuche erst dann wahrgenommen werden, wenn der Schmerz nicht mehr aushaltbar ist.

Welche Praxis ist die richtige?
Dazu kommt eine bei jeder Person individuelle und biologisch bedingte Anfälligkeit, mit Angst zu reagieren, und - auf der anderen Seite - Eigenschaften und Verhaltensweisen des Zahnarztes oder seiner Mitarbeiter, die als Bedrohung im Zusammenhang mit einer Zahnbehandlung empfunden werden.

Sie haben die Kontrolle
Viele empfinden die Situation als beängstigend, auf einem Stuhl liegend, mit geöffnetem Mund praktisch jemandem „ausgeliefert“ zu sein (Verlust der Selbstkontrolle). Dies ist ein starkes, aber nicht krankhaftes Gefühl und Sie können sich sicher sein, dass Sie entscheiden, was getan werden soll.

Es gibt nichts Gutes, außer man tut es!
Meist haben sich im Laufe der Zeit mehrere Zahnprobleme angestaut: Durch unsere jahrzehntelange Erfahrung können wir Sie sicher und schonend behandeln. Wenn Sie möchten, bringen Sie einfach die Person Ihres Vertrauens mit!

Schmerzfrei wohlauf
Andere befürchten beim Zahnarzt eine schmerzhafte Behandlung und sind im Vorfeld schon nervös. Dies muss nicht sein. Überzeugen Sie sich von unserer schmerzfreien Behandlung durch einen Blick auf die vielen guten Bewertungen von unseren Patienten.

„Outen“ Sie sich.
Reden Sie drüber.
Reden Sie drüber.
Verlieren Sie nicht den Mut, sich mit Ihrer „Zahnsituation“ auseinanderzusetzen. Machen Sie sich z. B. eine Liste mit Wünschen und Fragen. Ihre Zahngesundheit liegt uns am Herzen. Deshalb scheuen Sie sich nicht, uns anzurufen und von Ihrem persönlichen Problem zu erzählen.

In guter Gesellschaft
Manchmal sind es aber auch unangenehme Erlebnisse aus der Kindheit, die Spuren auf der Seele hinterlassen haben. Oder etwa Erzählungen aus dem sozialen Umfeld, die zu unterschiedlich stark ausgeprägter Zahnarztangst führen.

Ein guter Tipp
Unmittelbar vor dem Zahnarzttermin sollten Sie etwas Entspannendes tun, z. B. Ihr Lieblingsbuch lesen, beruhigende Musik hören oder Atemübungen machen (4 Sek. einatmen, 7 Sek. halten, 8 Sek. ausatmen) – Sie wissen am besten, was Ihnen guttut.
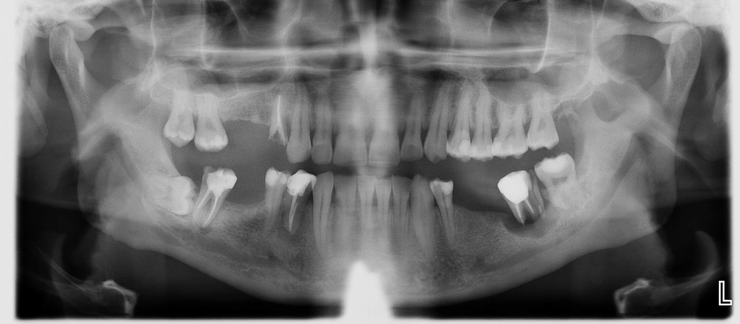
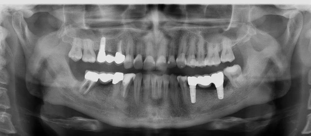
Hier ein Beispiel aus der Praxis:



